Smile Gallery — Brandon, SD

Successful Results, Satisfied Patients

Brandon dentists smiling and standing with their arms crossed

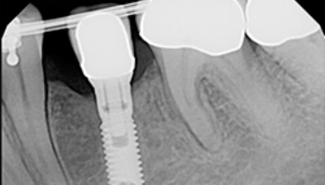
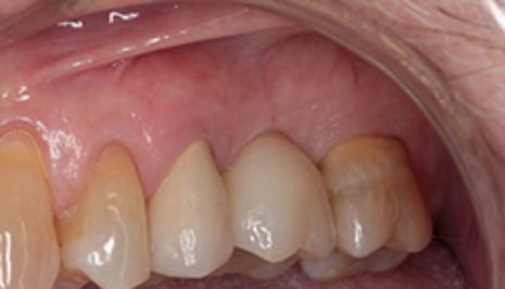
Often people have no idea how a certain dental treatment should look or the difference a procedure might make. Here are actual “before and after” photos representing most of our common procedures. One thing you will realize is many cases require a combination of procedures to accomplish the desired result. But many cases also require less than the patient had originally expected.

Schedule your complimentary consultations today and see how we can enhance your smile!